골수성 동맥염(Osler-Weber-Rendu disease, 또는 Hereditary Hemorrhagic Telangiectasia, HHT)은 혈관에 영향을 미치는 유전성 질환입니다. 이 질환은 혈관벽의 결함으로 인해 정상적인 혈관 형태를 유지하지 못하고, 혈관이 비정상적으로 확장되거나 비정상적으로 성장하여 혈관의 약한 부분이 터질 수 있습니다.
1. 정의
골수성 동맥염(Osler-Weber-Rendu disease, HHT)은 혈관의 비정상적인 확장과 약화로 인해 출혈을 일으키는 유전성 질환입니다. 이 질환은 주로 작은 혈관인 모세혈관(capillaries)과 동정맥루(arteriovenous malformations, AVMs)에서 발생합니다. 이러한 비정상적인 혈관은 혈관벽이 약해지거나 정상적인 혈류가 흐르지 않도록 변형되어, 혈액이 제대로 흐르지 않고 혈관의 외부로 유출되는 출혈을 일으킬 수 있습니다.
HHT는 상염색체 우성 유전 방식으로 전해지며, 부모가 한 명이라도 이 질환을 가지고 있으면 자녀에게 50% 확률로 전달됩니다. 이 질환의 유전자 변이는 ENG, ACVRL1, SMAD4 등 여러 유전자에서 발생할 수 있으며, 이로 인해 혈관 형성에 중요한 역할을 하는 신호 전달 경로가 장애를 일으킵니다.

2. 특징
골수성 동맥염(Osler-Weber-Rendu disease, HHT)의 특징은 이 질환이 주로 혈관의 비정상적인 형성과 출혈 경향을 특징으로 한다는 점에서 중요합니다. 이 질환은 전반적인 혈관 시스템에 영향을 미치며, 특히 작은 혈관과 모세혈관에서 주로 문제가 발생합니다. 주요 특징은 다음과 같습니다:
1. 혈관의 비정상적 확장 (Telangiectasia)
- **텔랑지올렉타시아(Telangiectasia)**는 혈관이 비정상적으로 확장된 상태를 말합니다. 피부, 점막(특히 코, 입), 그리고 내장 기관에서 자주 발생합니다.
- 피부: 피부에 작은 붉은 점이나 반점이 나타나며, 주로 얼굴, 손, 팔, 발 등에 보입니다.
- 점막: 특히 코와 입에서 발생하며, 코에서의 출혈은 이 질환의 중요한 증상 중 하나입니다.
- 이러한 확장된 혈관은 쉽게 터져 출혈을 일으킬 수 있습니다.
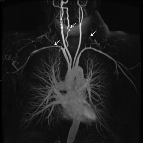
2. 동정맥루(Arteriovenous Malformations, AVM)
- 동정맥루는 동맥과 정맥이 비정상적으로 연결된 혈관의 형태입니다. 정상적인 혈관은 동맥에서 나온 혈액이 모세혈관을 통해 정맥으로 흐르지만, 동정맥루에서는 이 과정 없이 동맥과 정맥이 바로 연결됩니다.
- 폐, 뇌, 간, 척수 등 주요 장기에서 동정맥루가 형성될 수 있습니다.
- 폐 AVM: 폐에서 동정맥루가 발생하면 혈액이 산소를 제대로 공급받지 못해 호흡 곤란을 일으킬 수 있습니다.
- 뇌 AVM: 뇌에서 AVM이 발생하면 두통, 뇌졸중, 발작 등이 발생할 수 있습니다.
- 간 AVM: 간에서 AVM이 생기면 간 기능 저하와 관련된 증상이 발생할 수 있습니다.
3. 출혈 경향
- 골수성 동맥염의 가장 큰 특징 중 하나는 출혈 경향입니다. 비정상적으로 확장된 혈관이나 동정맥루는 매우 취약해져, 출혈이 자주 발생합니다.
- 비출혈: 코 출혈이 가장 흔하며, 이는 HHT 환자들에게 흔하게 발생하는 증상입니다. 출혈이 자주 발생하고, 심각한 경우 빈혈을 초래할 수 있습니다.
- 소화기계 출혈: 위장관에서도 출혈이 발생할 수 있습니다. 혈변이나 흑색변이 발생할 수 있습니다.
- 호흡기 출혈: 폐에 AVM이 있을 경우 기침과 함께 출혈이 발생할 수 있습니다.
4. 빈혈
- 지속적인 출혈로 인해 빈혈이 발생할 수 있습니다. 출혈이 반복되면 체내 철분이 부족해져 피로, 어지러움, 피부 창백 등의 증상이 나타날 수 있습니다.
5. 유전적 특성
- 골수성 동맥염은 유전성 질환입니다. 상염색체 우성 유전 방식을 따르므로, 부모 중 한 명이 이 질환을 가지고 있다면 자녀가 이 질환을 물려받을 확률은 50%입니다.
- 이 질환은 HHT 유전자의 변이에 의해 발생하며, 여러 유전자 (예: ENG, ACVRL1, SMAD4)에 변이가 있을 수 있습니다. 이들 유전자들은 혈관 형성 및 신호 전달에 중요한 역할을 합니다.
6. 다양한 장기에서의 영향
- 폐: 폐에서의 출혈이나 AVM은 호흡 곤란을 일으킬 수 있으며, 산소 부족 상태를 초래할 수 있습니다.
- 뇌: 뇌에서의 동정맥루는 심각한 뇌졸중이나 발작을 일으킬 수 있습니다.
- 간: 간에 AVM이 생기면 간 기능 저하가 발생할 수 있습니다.
- 소화기계: 위장관 출혈이 발생할 수 있으며, 이는 빈혈을 일으키거나 소화불량 등의 증상을 유발할 수 있습니다.
7. 혈관의 발달 문제
- 골수성 동맥염의 주요 특징은 혈관이 제대로 발달하지 않거나 비정상적인 형태로 발달한다는 점입니다. 이러한 비정상적인 발달은 혈관이 약해져 출혈을 일으킬 위험을 증가시키고, 장기적으로 혈류에 영향을 미칠 수 있습니다.
이 질환의 특징들은 출혈과 관련된 증상들로부터 다양한 장기 시스템에 미치는 영향을 포함하고 있습니다. HHT 환자들은 이 질환으로 인한 출혈이나 혈관 문제를 관리하기 위해 정기적인 검진과 치료가 필요합니다.

3. 원인
골수성 동맥염(Osler-Weber-Rendu disease, HHT)의 원인은 유전적인 변이에 의해 발생합니다. 이 질환은 상염색체 우성 유전 방식으로 물려지며, 주요 원인은 HHT 관련 유전자들의 변이입니다. HHT를 일으키는 유전자들은 혈관 형성 및 신호 전달에 중요한 역할을 하며, 이 유전자들이 변이되면 혈관이 정상적으로 발달하지 않고 비정상적인 형성 및 확장이 발생하게 됩니다.
1. HHT 관련 유전자 변이
골수성 동맥염을 일으키는 주요 유전자 변이는 다음과 같습니다:
- ENG (Endoglin)
- ACVRL1 (Activin receptor-like kinase 1)
- SMAD4 (SMAD family member 4)
이들 유전자들은 혈관 형성과 관련된 중요한 역할을 합니다. 혈관의 정상적인 발달과 유지에는 여러 단백질과 신호 전달 경로가 필요하며, 이들 유전자들이 결함을 가지면 혈관벽이 약해지고 비정상적으로 확장됩니다.
2. 유전자 변이에 의한 혈관 형성 문제
- Endoglin(ENG): 이 유전자는 혈관의 성숙과 안정성을 유지하는 데 중요한 역할을 합니다. ENG 유전자에 변이가 생기면 혈관 벽이 약해지고, 혈관이 확장되거나 약한 부위가 생겨 출혈이 쉽게 발생합니다.
- ACVRL1: 이 유전자는 TGF-β (Transforming Growth Factor-beta) 신호 경로에 중요한 역할을 합니다. TGF-β 신호는 혈관의 형성과 발달을 조절하는데, ACVRL1 유전자에 변이가 생기면 이 신호 경로가 제대로 작동하지 않아 혈관의 구조적 결함이 발생합니다. 이로 인해 동정맥루(arteriovenous malformations, AVMs)가 형성되거나 혈관이 비정상적으로 확장됩니다.
- SMAD4: SMAD4 유전자는 TGF-β 신호 경로의 주요 전달자로, 혈관 형성 과정에서 중요한 역할을 합니다. SMAD4 변이는 혈관의 발달에 이상을 일으켜, 혈관이 비정상적으로 확장하고 출혈을 일으킬 수 있습니다.
3. 상염색체 우성 유전 방식
골수성 동맥염은 상염색체 우성 유전 방식으로 유전됩니다. 이는 질환을 일으키는 변이가 상염색체(성별과 관계 없는 22쌍의 염색체)에 위치하고, 한 부모에게서만 변이를 물려받아도 질환이 발현된다는 것을 의미합니다.
- 부모 중 한 명이 이 질환을 가지고 있으면, 자녀가 이 질환을 물려받을 확률은 50%입니다.
- 유전자 변이가 한 쌍만 있어도 발병할 수 있기 때문에, 부모가 HHT를 가지고 있을 경우 자녀가 전염되는 확률이 높습니다.
4. 변이의 발생 및 진단
- HHT는 새로운 유전자 변이에 의해 발생할 수 있으며, 즉 부모로부터 물려받지 않았지만, 개인적인 변이에 의해 발병할 수도 있습니다.
- 유전자 검사를 통해 HHT의 원인 유전자 변이를 진단할 수 있습니다. 혈액 샘플을 통해 특정 유전자 변이를 확인하는 방법이 사용됩니다.
5. 혈관 형성의 문제
이 유전자 변이로 인해 혈관의 정상적인 형성과 발달이 방해를 받게 됩니다. 특히 모세혈관과 작은 동정맥에서 문제가 발생하여, 혈관이 비정상적으로 확장되거나 **동정맥루(arteriovenous malformations)**가 형성됩니다. 이러한 결함은 혈관벽이 얇아지고 불완전하게 형성되며, 이로 인해 혈관이 쉽게 파열되어 출혈이 발생할 위험이 커집니다.
6. 기타 관련 유전자들
- HHT와 관련된 다른 유전자들도 발견되었지만, 가장 일반적인 변이는 ENG, ACVRL1, SMAD4에서 발생합니다. 일부 경우에는 BMPR2, GDF2와 같은 다른 유전자들에서도 변이가 발견될 수 있습니다.
골수성 동맥염의 주된 원인은 HHT 관련 유전자들(ENG, ACVRL1, SMAD4)의 변이에 의해 발생하며, 이들 유전자들이 혈관 형성에 중요한 역할을 하기 때문에, 변이가 생기면 혈관이 비정상적으로 확장되고, 동정맥루가 형성되어 출혈이 발생할 수 있습니다. 이 질환은 상염색체 우성 유전으로 물려지며, 부모 중 한 명이 이 질환을 가지고 있으면 자녀에게 50% 확률로 유전됩니다.

4. 증상
골수성 동맥염(Osler-Weber-Rendu disease, HHT)의 증상은 주로 비정상적인 혈관 확장과 출혈에 관련된 증상들이며, 증상의 발현은 개인마다 차이가 있을 수 있습니다. 주된 증상은 출혈과 관련된 것으로, 혈관이 비정상적으로 확장된 부분이 쉽게 파열되어 출혈을 일으키기 때문에 다양한 신체 부위에서 출혈이 발생할 수 있습니다. 주요 증상은 다음과 같습니다:
1. 코 출혈 (Epistaxis)
- 가장 흔한 증상으로, HHT 환자에게서 자주 발생하는 증상입니다.
- 비정상적으로 확장된 혈관이 코의 점막에 존재하기 때문에, 가벼운 외부 자극이나 건조한 환경에서도 출혈이 발생할 수 있습니다.
- 코 출혈은 반복적이며, 심한 경우 하루에도 여러 차례 발생할 수 있습니다.
- 출혈은 경미하거나 심각할 수 있으며, 지속적인 출혈로 인해 빈혈이 발생할 수 있습니다.
2. 피부의 혈관종 및 텔랑지올렉타시아 (Telangiectasia)
- 피부에 작은 붉은 점이나 반점이 나타나는 증상입니다. 이들은 확장된 작은 혈관들이 피부 표면에 보이는 형태로 나타납니다.
- 얼굴, 손, 팔, 발 등에서 자주 보이며, 피부의 작은 혈관이 확장되어 작은 붉은 점들이 생깁니다.
- 점들은 압력을 가하면 사라지지만, 혈관이 비정상적으로 확장되어 있는 상태이기 때문에 쉽게 다시 나타날 수 있습니다.
- 이 혈관종은 대부분 비출혈을 일으키지는 않지만, 피부 외상이나 자극에 의해 출혈이 발생할 수 있습니다.
3. 소화기계 출혈 (Gastrointestinal Bleeding)
- 위장관 출혈이 발생할 수 있습니다. 이는 위나 장에서의 출혈로, 피가 변에 섞여 나오는 흑색변(melena)이나 혈변을 동반할 수 있습니다.
- 위장관 출혈은 반복적으로 발생할 수 있으며, 빈혈을 초래할 수 있습니다.
- 출혈이 심각한 경우 복통이나 구토가 동반될 수 있습니다.
4. 폐 출혈 (Pulmonary Bleeding)
- 폐에서의 출혈은 호흡 곤란, 기침, 혈담(피가 섞인 가래)을 유발할 수 있습니다.
- 폐에 **동정맥루(AVM)**가 존재하면, 출혈이 발생할 수 있으며 이는 호흡에 영향을 미칠 수 있습니다.
- 산소 부족 상태가 나타날 수 있으며, 저산소증으로 인해 피로감, 어지러움, 호흡 곤란 등이 발생할 수 있습니다.
5. 뇌 출혈 및 신경학적 증상
- 뇌에 동정맥루가 생기면 출혈이 발생할 수 있으며, 이는 뇌졸중, 두통, 발작 등을 유발할 수 있습니다.
- 두통은 지속적이거나 맥박에 맞춰 나타날 수 있으며, 뇌졸중이 발생하면 언어 장애, 마비, 어지러움 등이 나타날 수 있습니다.
- 출혈이 심각한 경우 의식 소실이나 운동 기능 장애가 발생할 수 있습니다.
6. 심장 및 순환기계 문제
- 심장과 혈관 시스템에서의 문제도 있을 수 있습니다. 동정맥루가 심장이나 대동맥 등 큰 혈관에 영향을 미칠 수 있습니다.
- 대동맥에 문제가 생기면 혈액이 비정상적으로 흐르게 되어, 심장 부담이 증가할 수 있습니다.
7. 빈혈 (Anemia)
- 지속적인 출혈로 인해 빈혈이 발생할 수 있습니다. 특히 코 출혈, 위장관 출혈 등이 반복되면 체내 철분이 부족해져 빈혈이 나타날 수 있습니다.
- 피로, 창백한 피부, 두통, 어지러움, 심장 두근거림 등 빈혈의 증상이 동반될 수 있습니다.
8. 간 출혈 및 간 기능 문제
- 간에 동정맥루가 발생하면 간의 기능이 저하될 수 있으며, 이는 복부 통증, 복수(복부에 체액이 축적), 소화불량 등을 유발할 수 있습니다.
- 간에서의 출혈은 잘 인식되지 않지만, 간의 AVM이 크거나 수가 많으면 간의 기능 장애를 일으킬 수 있습니다.
9. 시각 문제
- 드물지만, 눈의 혈관에 AVM이 생기면 시력에 문제가 생길 수 있습니다. 눈의 혈관이 파열되면 출혈이나 시력 저하가 발생할 수 있습니다.
10. 어린이 및 초기 증상
- 어린이에게는 주로 코 출혈이나 피부의 혈관종이 먼저 나타납니다. 그러나 어린이에서 심각한 뇌출혈이나 폐출혈은 드물지만, 여전히 발생할 수 있으므로 증상에 주의가 필요합니다.
골수성 동맥염의 주요 증상은 반복적인 출혈이며, 특히 코 출혈이 가장 흔합니다. 또한, 피부에 혈관종, 소화기계 출혈, 폐 출혈, 뇌 출혈, 간 문제, 그리고 빈혈 등의 증상도 흔히 발생합니다. 이 질환은 출혈로 인해 빈혈을 일으키고, 장기 출혈이 반복되면 중요한 장기에 영향을 미칠 수 있기 때문에 조기 진단과 치료가 중요합니다.

5. 치료 및 수술 방법
골수성 동맥염(Osler-Weber-Rendu disease, HHT)은 완치가 불가능한 유전성 질환이지만, 적절한 치료와 수술적 방법을 통해 증상을 관리하고 합병증을 예방할 수 있습니다. 치료는 주로 출혈 관리, **동정맥루(AVM)**의 치료, 그리고 증상 완화에 초점을 맞춥니다. 각 증상에 대한 맞춤형 치료가 필요하며, 여러 전문의와의 협력이 중요한 질환입니다.
1. 약물 치료
- 출혈 관리 약물
- 에스트로겐: 여성 환자에게는 에스트로겐이 코 출혈을 줄이는 데 도움이 될 수 있습니다. 에스트로겐은 혈관 수축을 유도하고, 출혈을 감소시킬 수 있는 효과가 있습니다.
- 항출혈 약물: 아미노카프로산(aminocaproic acid)이나 트랜엑사믹산(tranexamic acid)과 같은 약물은 출혈을 줄이는 데 사용할 수 있습니다. 이들 약물은 출혈을 막고, 출혈이 심할 때 혈액 응고를 도와줄 수 있습니다.
- 비타민 K: 비타민 K가 결핍된 경우에는 이를 보충하여 출혈을 예방할 수 있습니다.
- 빈혈 치료
- 지속적인 출혈로 인해 빈혈이 발생한 경우, 철분 보충제나 EPO(에리트로포이에틴) 주사를 통해 빈혈을 치료할 수 있습니다. 심한 빈혈에는 혈액 수혈이 필요할 수 있습니다.
2. 출혈 예방 및 관리
- 출혈 예방적 치료
- 출혈이 자주 발생하는 부위에 대해 예방적인 조치를 취할 수 있습니다. 예를 들어, 코 출혈을 예방하기 위해 코 점막을 보습할 수 있는 방법이 사용될 수 있으며, 이를 위해 식염수 스프레이나 연고를 사용합니다.
- 생활 습관 관리: 과도한 압력이나 외상을 피하는 것이 중요하며, 코를 자주 풀지 않도록 하는 것도 도움이 될 수 있습니다.
3. 수술적 치료
- 동정맥루(AVM) 수술
- 동정맥루가 폐, 뇌, 간, 척수 등 주요 장기에 발생한 경우, 수술적 치료가 필요할 수 있습니다.
- 폐 AVM: 폐에서 동정맥루가 발견되면, 수술이나 색전술(embolization)을 통해 비정상적인 혈관을 차단할 수 있습니다. 색전술은 동맥에 물질을 주입해 비정상적인 혈관을 막는 방법입니다.
- 뇌 AVM: 뇌에서 동정맥루가 발생하면, 수술을 통해 AVM을 제거할 수 있습니다. 또는 방사선 치료(예: 감마나이프)를 통해 AVM을 치료할 수 있습니다.
- 간 AVM: 간에서의 AVM이 심각한 경우에는 간 절제술이 필요할 수 있습니다.
- 색전술(Embolization)
- 색전술은 혈관 내에 차단 물질(예: 스폰지, 콜라겐)을 주입하여 동정맥루나 비정상적인 혈관을 차단하는 방법입니다. 이 방법은 비침습적이며, 출혈을 최소화하고, 특히 폐 AVM에 많이 사용됩니다.
- 색전술은 기술적 어려움이 있을 수 있지만, 동정맥루의 크기나 위치에 따라 성공적인 결과를 얻을 수 있습니다.
- 내시경적 치료
- 위장관 출혈을 예방하거나 치료하기 위해 내시경을 통해 출혈이 있는 부위를 확인하고, 이를 지혈할 수 있습니다. 내시경적 절제나 지혈 클립을 사용할 수 있습니다.
4. 기타 치료 방법
- 호흡기 지원
- 폐 출혈이 심각하거나 산소 부족이 발생할 경우, 산소 치료나 호흡기 보조 치료가 필요할 수 있습니다. 기침이나 혈담이 동반되는 폐출혈의 경우, 기계환기를 통한 호흡 지원이 필요할 수 있습니다.
- 유전자 상담
- HHT는 유전성 질환이기 때문에, 가족 구성원들에게 유전자 검사와 상담을 제공하는 것이 중요합니다. 이를 통해 다른 가족 구성원들이 질환의 유무를 확인하고, 예방적인 치료를 받을 수 있습니다.
5. 장기적인 관리와 모니터링
- 정기적인 모니터링:
- HHT 환자는 주기적으로 혈액 검사, 영상 검사(예: CT, MRI)를 통해 AVM의 크기, 출혈 상태, 빈혈 여부 등을 확인해야 합니다.
- 특히 뇌, 폐, 간 등의 주요 장기에 동정맥루가 발생한 경우, 그 진행 상태를 모니터링하여 적절한 시기에 치료를 시작할 수 있습니다.
- 기타 관리:
- 식이요법: 빈혈이나 출혈을 예방하기 위해 철분이 풍부한 식사를 하는 것이 중요합니다. 비타민 C, 엽산, 비타민 B12 등의 영양소도 중요합니다.
- 심리적 지원: 만성적인 출혈 문제나 치료 과정에서의 스트레스가 환자에게 큰 영향을 미칠 수 있으므로, 심리적 지원이나 상담이 필요할 수 있습니다.
6. 치료의 목표
- 치료의 주요 목표는 출혈을 최소화하고, 동정맥루의 발생 및 합병증을 예방하는 것입니다. 또한, 환자의 삶의 질을 향상시키기 위한 치료와 관리가 중요합니다.
골수성 동맥염(HHT)의 치료와 수술 방법은 출혈을 관리하고 동정맥루를 치료하는 데 집중됩니다. 약물 치료, 색전술, 수술적 제거, 내시경적 치료 등 다양한 방법을 통해 출혈과 혈관 문제를 치료하며, 환자의 상태에 따라 지속적인 모니터링과 관리가 필요합니다. 적절한 치료와 관리로 증상을 완화하고 합병증을 예방할 수 있습니다.

6. 예후
골수성 동맥염(Osler-Weber-Rendu disease, HHT)의 예후와 관리 방법은 주로 질환의 증상과 동정맥루(AVM)의 발생 위치 및 크기, 출혈의 정도에 따라 달라집니다. HHT는 치료가 완전한 회복을 보장하지 않지만, 적절한 관리와 치료를 통해 합병증을 예방하고 환자의 삶의 질을 개선할 수 있습니다.
1. 예후
골수성 동맥염의 예후는 크게 출혈의 빈도와 위치, 동정맥루(AVM)의 발생 부위, 그리고 합병증의 발생 여부에 따라 달라집니다.
- 출혈 빈도: HHT에서 반복적인 출혈은 환자의 일상생활에 큰 영향을 미칩니다. 코 출혈, 위장관 출혈, 폐 출혈 등으로 인한 빈혈이나 혈액 부족이 만성화되면 건강 상태가 악화될 수 있습니다.
- 코 출혈이 매우 빈번하게 발생하는 경우, 빈혈이나 체력 저하를 유발할 수 있으며, 이는 환자의 삶의 질에 영향을 미칩니다.
- 동정맥루의 위치: 동정맥루가 폐, 뇌, 간, 심장 등 중요한 장기에 발생하면 합병증을 초래할 수 있습니다. 예를 들어:
- 뇌 출혈이나 뇌졸중이 발생하면 장기적인 신경학적 손상을 유발할 수 있습니다.
- 폐 출혈이 지속되면 호흡 곤란이나 저산소증(산소 부족)이 발생할 수 있으며, 이는 심각한 상태로 진행될 수 있습니다.
- 합병증의 발생:
- 뇌출혈이나 심각한 폐 출혈은 즉각적인 생명 위험을 초래할 수 있습니다. 뇌졸중, 기타 출혈성 질환이 심각하면 예후가 좋지 않을 수 있습니다.
- 빈혈이 지속적으로 발생하면 심혈관계 문제(예: 심부전이나 혈압 저하)가 발생할 수 있으며, 치료하지 않으면 수명이 단축될 수 있습니다.
- 치료의 개입 시기: 조기 진단과 적절한 치료가 예후를 개선하는 데 중요한 역할을 합니다. 치료가 빠르게 이루어지면 출혈을 조절하고 동정맥루를 효과적으로 치료할 수 있으며, 합병증을 예방할 수 있습니다.
2. 관리 방법
HHT의 관리 방법은 출혈 예방, 동정맥루(AVM) 치료, 그리고 장기적인 모니터링과 생활 관리로 나눠집니다.
(1) 출혈 관리 및 예방
- 코 출혈 예방:
- 코 출혈이 자주 발생하는 환자는 코 점막을 보습하는 것이 중요합니다. 식염수 스프레이, 보습 연고 등을 사용하여 건조한 환경에서 점막이 쉽게 손상되지 않도록 보호합니다.
- 코 풀기를 피하고, 코에 과도한 자극을 가하지 않도록 합니다.
- 약물 치료:
- 출혈을 방지하는 데 사용되는 약물로는 에스트로겐(여성 환자에게 유용), 항출혈 약물(아미노카프로산, 트랜엑사믹산) 등이 있습니다. 이러한 약물들은 출혈을 억제하고, 혈액 응고를 촉진하여 출혈을 줄이는 데 도움을 줍니다.
- 빈혈이 발생한 경우에는 철분 보충제와 **에리트로포이에틴(EPO)**을 사용하여 빈혈을 치료할 수 있습니다.
(2) 동정맥루(AVM) 치료
- 폐 AVM:
- 폐의 동정맥루는 **색전술(Embolization)**을 통해 치료할 수 있습니다. 이 방법은 비정상적인 혈관을 차단하여 출혈을 예방합니다. 색전술은 비침습적이고, 비교적 안전하게 적용할 수 있는 방법입니다.
- 수술적 제거도 필요할 수 있으며, 큰 동정맥루나 치료가 어려운 경우에는 수술을 통해 직접적으로 제거할 수 있습니다.
- 뇌 AVM:
- 뇌에 AVM이 발생한 경우, 수술적 제거나 감마나이프 방사선 수술이 적용될 수 있습니다. 감마나이프는 비침습적인 방사선 치료로, 뇌에 있는 AVM을 축소시키거나 제거하는 데 사용됩니다.
- 출혈 예방을 위해 주기적인 뇌 MRI 검사를 통해 AVM의 크기와 위치를 모니터링하는 것이 중요합니다.
- 위장관 AVM:
- 위장관에서의 출혈은 내시경적 지혈 방법을 사용하여 출혈 부위를 치료할 수 있습니다. 출혈이 지속적일 경우, 내시경적 절제나 지혈 클립을 사용할 수 있습니다.
- 간 AVM:
- 간에서의 동정맥루는 간 절제술을 통해 치료할 수 있습니다. 이는 간의 손상된 부분을 제거하거나 혈류를 차단하여 출혈을 방지하는 방법입니다.
(3) 장기적인 관리 및 모니터링
- 정기적인 검사:
- HHT 환자는 정기적인 혈액 검사와 영상 검사를 통해 출혈 상태와 AVM의 크기 및 진행 상태를 모니터링해야 합니다. 예를 들어, 폐, 뇌, 간의 AVM이 진행되는지 확인하고, 조기에 치료를 시작할 수 있습니다.
- CT나 MRI를 이용해 동정맥루의 크기와 위치를 추적하는 것이 중요합니다.
- 심리적 지원:
- 만성적인 출혈 문제나 치료로 인한 스트레스가 환자에게 영향을 미칠 수 있으므로, 심리적 지원도 필요합니다. 심리 상담이나 스트레스 관리가 환자의 전반적인 건강에 도움을 줄 수 있습니다.
- 생활 습관 관리:
- 과도한 신체 활동이나 외상을 피하는 것이 중요합니다. 또한 흡연이나 과음은 혈관 건강에 악영향을 미칠 수 있으므로 이를 피하는 것이 좋습니다.
- 식이 요법은 빈혈 관리와 출혈 예방을 위해 철분이 풍부한 음식을 섭취하는 것이 중요합니다. 철분, 비타민 C, 엽산 등을 충분히 섭취하는 것이 좋습니다.
(4) 유전자 상담
- HHT는 유전 질환이기 때문에, 유전자 검사를 통해 다른 가족 구성원이 질환에 걸렸는지 확인할 수 있습니다. 이를 통해 가족 내 조기 진단과 예방적 치료를 시작할 수 있습니다.
요약
예후는 주로 출혈의 빈도, 동정맥루의 발생 위치, 합병증에 따라 달라집니다. HHT는 완치가 어렵지만, 출혈 예방, 동정맥루 치료, 정기적인 모니터링을 통해 합병증을 최소화하고, 환자의 삶의 질을 개선할 수 있습니다. 관리 방법은 약물 치료, 수술적 치료, 정기적인 검사, 심리적 지원, 그리고 생활 습관 개선이 포함됩니다. 조기 진단과 적절한 치료가 예후를 크게 개선하는 데 중요한 역할을 합니다.
경동맥 혈전형성 (Carotid Thrombosis)이란? 특징, 원인, 증상, 치료 및 수술방법
경동맥 혈전형성 (Carotid Thrombosis)이란? 특징, 원인, 증상, 치료 및 수술방법
**경동맥 혈전형성 (Carotid Thrombosis)**은 경동맥(목 부위의 주요 동맥)에 혈전(혈액 응고물질)이 형성되어 혈류를 차단하거나 제한하는 상태를 말합니다. 경동맥은 뇌로 혈액을 공급하는 중요한 동
bwang2.tistory.com
경동맥에 의한 뇌졸중(Carotid Artery Stroke)이란? 특징, 원인, 증상, 치료 및 수술방법
경동맥에 의한 뇌졸중(Carotid Artery Stroke)이란? 특징, 원인, 증상, 치료 및 수술방법
경동맥에 의한 뇌졸중은 경동맥(목에 위치한 주요 동맥)의 혈류 장애로 인해 뇌로 가는 혈액 공급이 차단되거나 감소하여 발생하는 뇌졸중입니다. 경동맥은 뇌로 혈액을 공급하는 중요한 역할
bwang2.tistory.com
타카야수 동맥염(Takayasu Arteritis, TA)이란? 특징, 원인, 증상, 치료 및 수술 방법
타카야수 동맥염(Takayasu Arteritis, TA)이란? 특징, 원인, 증상, 치료 및 수술 방법
타카야수 동맥염(Takayasu Arteritis, TA)은 주로 큰 혈관, 특히 대동맥과 그 가지들에 염증이 생기는 희귀한 만성 염증성 질환입니다. 이 질환은 주로 20대에서 40대의 여성에게 많이 발생하며, 혈관의
bwang2.tistory.com
베게너 육아종증(GPA)이란? 특징, 원인, 증상, 치료 및 수술 방법
베게너 육아종증(GPA)이란? 특징, 원인, 증상, 치료 및 수술 방법
베게너 육아종증(Wegener's granulomatosis), 현재는 **Granulomatosis with Polyangiitis (GPA)**라는 이름으로 알려져 있는 질환은 자가면역성 질환으로, 주로 혈관염(혈관의 염증)과 육아종(염증성 세포 덩어리)
bwang2.tistory.com
경동맥 강직증(Carotid Artery Stiffness)이란? 특징, 원인, 증상, 치료 및 수술방
경동맥 강직증(Carotid Artery Stiffness)이란? 특징, 원인, 증상, 치료 및 수술방
경동맥 강직증(Carotid Artery Stiffness)은 경동맥의 벽이 정상적인 탄력을 잃고 경직되는 상태를 의미합니다. 경동맥은 머리와 뇌로 가는 주요 혈관으로, 이 혈관이 경직되면 뇌로 가는 혈류에 문제
bwang2.tistory.com
베체트 병 (Behçet's Disease)이란? 특징, 원인, 증상, 치료 및 수술 방법
베체트 병 (Behçet's Disease)이란? 특징, 원인, 증상, 치료 및 수술 방법
**베체트 병 (Behçet's Disease)**은 혈관염에 속하는 만성 염증성 질환으로, 전신의 혈관에 염증을 일으킬 수 있는 자가면역 질환입니다. 이 질환은 다양한 증상을 일으키며, 주로 구강과 생식기의
bwang2.tistory.com
동맥섬유증(Arterial fibrosis)이란? 특징, 원인, 증상, 치료 및 수술 방법
동맥섬유증(Arterial fibrosis)이란? 특징, 원인, 증상, 치료 및 수술 방법
동맥섬유증(Arterial fibrosis)은 동맥의 벽에 섬유 조직이 과도하게 축적되는 상태를 말합니다. 이로 인해 동맥이 두꺼워지고, 탄력성을 잃으며, 혈류가 방해받을 수 있습니다. 이는 대개 혈관의 노
bwang2.tistory.com
'순환계 질환' 카테고리의 다른 글
| 혈전성 동맥염 (Thromboangiitis obliterans)이란? 특징, 원인, 증상, 치료 및 수술방법 (1) | 2025.02.18 |
|---|---|
| 연쇄상구균 동맥염(Streptococcal Arteritis) (0) | 2025.02.18 |
| 악성 혈관염(Malignant Vasculitis)이란? 특징, 원인, 증상, 치료 및 수술방법 (1) | 2025.02.18 |
| 동정지 (Cardiac Arrest)이란? 특징, 원인, 증상, 치료 및 수술 방법 (0) | 2025.02.18 |
| 큰혈관 동맥염 (Large Vessel Vasculitis)이란? 특징, 원인, 증상, 치료 및 수술 방법 (0) | 2025.02.17 |