고혈압성 심근증(Hypertensive Cardiomyopathy)은 고혈압이 장기간 지속되어 심장 근육에 부담을 주고, 그로 인해 심장의 구조와 기능에 변화가 생기는 질환입니다. 고혈압성 심근증은 고혈압이 지속적으로 심장에 미치는 영향을 반영하며, 그로 인해 심장 근육의 비대, 심장 기능 저하, 심부전 등을 초래할 수 있습니다.
다음은 고혈압성 심근증에 대한 정의, 특징, 원인, 증상, 진단, 치료 및 수술 방법, 예후와 관리 방법에 대해 자세히 설명합니다.
1. 정의
**고혈압성 심근증(Hypertensive Cardiomyopathy)**은 고혈압(고혈압)이 지속적으로 심장에 미치는 영향을 반영한 심장 질환으로, 고혈압이 심장의 구조적 변화와 기능 저하를 초래하는 질환입니다. 이 질환은 고혈압이 장기적으로 심장에 과도한 부담을 주고, 그로 인해 심장 근육(주로 좌심실)이 비대해지고, 심장의 수축력과 이완 능력이 저하되는 특징을 가집니다.
고혈압이 지속되면 심장은 혈액을 더 많이 펌프질하려고 하며, 이로 인해 심장 벽이 두꺼워지고, 심장의 비대가 발생합니다. 이 비대가 진행되면 심장의 수축기 기능과 이완기 기능이 감소하고, 심장은 정상적으로 혈액을 순환시키지 못하게 됩니다. 이로 인해 심부전(heart failure) 및 부정맥 등의 합병증이 발생할 수 있습니다.
핵심 정의
고혈압성 심근증은 고혈압이 심장의 구조적 변화(심근 비대)와 기능적 저하(심장 수축력 및 이완력 감소)를 유발하는 질환으로, 장기간에 걸쳐 심장의 비대와 기능 저하가 점진적으로 진행되며, 결국 심부전 및 심장 합병증을 초래할 수 있는 상태입니다. 이 질환은 심장 근육의 비대화와 좌심실을 주로 영향을 미치며, 고혈압이 제대로 관리되지 않으면 심장의 기능을 심각하게 저하시킬 수 있습니다.

2. 특징
**고혈압성 심근증(Hypertensive Cardiomyopathy)**의 특징은 고혈압이 장기간에 걸쳐 심장에 미치는 영향으로 심장의 구조적 및 기능적 변화를 초래하는 것입니다. 이 질환은 주로 좌심실에 영향을 미치며, 심장의 기능과 구조가 점차적으로 저하되는 과정을 거칩니다. 고혈압성 심근증의 주요 특징을 최대한 자세히 설명하겠습니다.
1. 심근 비대 (Hypertrophy)
고혈압성 심근증의 가장 중요한 특징은 심장 근육의 비대입니다. 고혈압이 지속되면 심장은 혈액을 더 많은 압력으로 펌프질해야 하므로 심장 벽(특히 좌심실)이 두꺼워집니다. 이는 심장이 더 강하게 작용하려는 적응 반응의 일종입니다. 비대된 심장 근육은 시간이 지나면서 점차 심장의 수축력을 감소시키며, 혈액을 효과적으로 순환시키는 능력이 떨어집니다.
- 좌심실 비대 (Left Ventricular Hypertrophy, LVH): 가장 흔히 영향을 받는 부위는 좌심실로, 고혈압으로 인해 좌심실 벽이 두꺼워지고 심장 기능에 부담을 줍니다.
- 심장 근육 비대는 대개 **비대성 심근병증(Hypertrophic Cardiomyopathy)**과 유사하지만, 원인이 다르고 심장 비대의 특징이 달라집니다.
2. 심장 기능 저하 (Heart Failure)
고혈압성 심근증에서 심장의 비대가 진행되면 심장의 수축기 기능과 이완기 기능이 모두 저하됩니다. 심장이 수축할 때 혈액을 효과적으로 밀어내지 못하고, 이완할 때 충분히 혈액을 받아들이지 못하는 상태가 발생합니다.
- 수축기 기능 저하: 좌심실이 비대해지면 심장의 수축 능력이 떨어지고, 결과적으로 심장이 혈액을 충분히 펌프질하지 못합니다. 이는 심부전으로 이어질 수 있습니다.
- 이완기 기능 저하: 좌심실이 비대해짐에 따라 심장의 이완 기능이 떨어지며, 심장이 혈액을 받아들이는 능력이 감소합니다. 이로 인해 심장에 혈액이 충분히 채워지지 않게 되어, 심부전 증상이 악화됩니다.
3. 심장 크기 증가
고혈압성 심근증이 진행되면 심장의 크기가 점차적으로 커집니다. 좌심실의 두꺼운 벽과 심장 내부의 공간이 커지면서 심장의 전반적인 크기가 증가할 수 있습니다. 그러나 심장의 비대는 심장 기능을 악화시키고, 좌심실 비대가 심해지면 심장 기능이 더욱 심각하게 저하될 수 있습니다.
4. 좌심실 기능 저하
고혈압성 심근증에서 가장 많이 영향을 받는 부분은 좌심실입니다. 좌심실은 심장의 주요 부분으로, 전신으로 혈액을 펌프질하는 중요한 역할을 합니다. 고혈압이 지속되면서 좌심실의 벽이 두꺼워지고, 좌심실의 수축력이 감소하여 혈액을 충분히 펌프질하지 못하게 됩니다. 이는 결국 심부전을 유발하며, 환자에게 호흡곤란, 부종, 피로 등의 증상을 초래합니다.
5. 심부전 (Heart Failure)
고혈압성 심근증이 진행되면서 심부전이 발생할 수 있습니다. 심장이 제대로 기능하지 않으면, 체액이 축적되어 부종이 발생하며, 호흡곤란이 나타납니다. 또한, 심장이 혈액을 효율적으로 펌프질하지 못하면 산소 공급이 부족해져 피로감과 어지러움이 동반될 수 있습니다.
- 우심부전: 심장의 우측이 제대로 혈액을 펌프질하지 못하면, 전신 부종(특히 다리, 복부 부종 등)이 발생합니다.
- 좌심부전: 좌심실의 기능 저하로 폐부종이 발생할 수 있으며, 이는 호흡곤란과 기침 등을 일으킵니다.
6. 심박수 이상 (Arrhythmia)
고혈압성 심근증은 심박수 이상, 즉 부정맥을 유발할 수 있습니다. 심장이 비대해지고, 심장의 전기적 신호가 제대로 전달되지 않으면 부정맥이 발생할 수 있습니다. 특히, **심방세동(Atrial Fibrillation)**과 같은 부정맥이 흔하게 나타날 수 있으며, 이는 뇌졸중 등의 위험을 증가시킵니다.
7. 혈액 순환 불량
심장이 비대해지고 기능이 저하되면서 혈액 순환이 불량해집니다. 이는 장기적으로 장기(예: 신장, 간 등)와 조직에 충분한 산소와 영양분이 공급되지 않게 되어, 여러 가지 합병증을 유발할 수 있습니다.
8. 장기적인 진행
고혈압성 심근증은 진행성 질환으로, 시간이 지남에 따라 심장 기능의 저하가 더욱 심각해질 수 있습니다. 초기에는 증상이 경미할 수 있지만, 시간이 지나면서 심부전이나 심장 질환(심장 이식이 필요할 정도의 심각한 심부전 등)이 발생할 수 있습니다. 이 과정에서 심장 이식이나 심장 보조 장치(LVAD)와 같은 치료가 필요할 수 있습니다.
9. 혈압의 관리 중요성
고혈압성 심근증의 특징 중 하나는 고혈압 관리가 제대로 이루어지지 않으면 병이 악화될 수 있다는 점입니다. 적절한 고혈압 치료와 관리가 이루어지지 않으면 심장 비대가 심해지고, 심부전 및 부정맥이 발생할 확률이 높아집니다. 따라서 고혈압의 철저한 관리가 중요합니다.
고혈압성 심근증은 고혈압에 의해 심장 비대와 심장 기능 저하가 발생하는 질환으로, 주요 특징은 좌심실 비대, 심장 기능 저하, 심부전의 진행, 부정맥 발생 등입니다. 이 질환은 시간이 지나면서 점차 심각한 심장 질환으로 발전할 수 있기 때문에, 고혈압 관리와 정기적인 심장 기능 모니터링이 매우 중요합니다.
3. 원인
**고혈압성 심근증(Hypertensive Cardiomyopathy)**의 주요 원인은 고혈압입니다. 고혈압은 심장에 과도한 부담을 주고, 이로 인해 심장 근육이 두꺼워지고 심장 기능이 저하됩니다. 고혈압성 심근증은 고혈압이 지속되면서 발생하는 심장의 구조적 변화와 기능적 저하를 나타내며, 그 원인은 다음과 같습니다:
1. 고혈압 (Hypertension)
고혈압은 고혈압성 심근증의 가장 중요한 원인입니다. 고혈압은 혈관에 지속적으로 높은 압력을 가해, 심장이 이를 극복하려고 더 많은 힘을 들여 혈액을 펌프질하게 만듭니다. 이러한 과도한 부담은 시간이 지나면서 심장 근육(주로 좌심실)에 비대화와 기능 저하를 일으키게 됩니다.
- 지속적인 고혈압: 고혈압이 수년 또는 수십 년 동안 지속되면, 심장은 더 강하게 펌프질해야 하므로 심장 벽(특히 좌심실 벽)이 두꺼워집니다. 시간이 지나면서 심장은 이를 보상하기 위해 더 많은 근육을 만들어 심근 비대가 발생하게 됩니다.
- 고혈압에 의한 심장 비대: 심장이 고혈압을 장기간 견디면 좌심실 비대가 발생합니다. 이는 심장의 혈액 순환 기능을 저하시켜, 심부전 및 부정맥 등의 증상이 나타날 수 있습니다.
2. 유전적 요인
일부 환자에서는 고혈압성 심근증의 발생에 유전적 요인이 영향을 미칠 수 있습니다. 고혈압 자체가 가족력에 따라 발생할 수 있으며, 유전적인 요소가 심장에 미치는 영향을 더욱 악화시킬 수 있습니다. 예를 들어, 유전적 고혈압이 있는 사람은 고혈압성 심근증이 더 쉽게 진행될 수 있습니다.
- 가족력: 고혈압성 심근증의 발생은 가족력이 있는 경우 더 흔히 나타날 수 있습니다. 유전적 요인이 고혈압뿐만 아니라 심장에 미치는 영향을 악화시킬 수 있습니다.
3. 비만 (Obesity)
비만은 고혈압의 주요 위험 요소 중 하나로, 비만이 심장에 부담을 주어 고혈압성 심근증의 위험을 증가시킬 수 있습니다. 비만은 심장의 체중 증가와 관련되어 있으며, 체내 지방 축적이 심장에 더 많은 압력을 가하게 되어 심장의 비대와 기능 저하를 초래할 수 있습니다.
- 심장 부담 증가: 비만으로 인해 체중이 늘어나면 심장은 혈액을 더 많이 순환시켜야 하기 때문에 심장에 더 많은 부담이 가게 됩니다.
- 고혈압 동반: 비만은 혈압을 상승시킬 수 있으며, 이로 인해 고혈압성 심근증이 발생할 수 있습니다.
4. 신장 질환 (Chronic Kidney Disease)
신장 질환은 고혈압의 주요 원인 중 하나이며, 고혈압성 심근증과 밀접한 관련이 있습니다. 신장 질환이 있으면 신장이 정상적으로 혈압을 조절하는 능력이 떨어지게 되고, 이로 인해 혈압이 높아지며 고혈압성 심근증이 발생할 수 있습니다.
- 신장 기능 저하: 신장 질환은 혈액의 나트륨 수치나 수분 균형에 영향을 미쳐 고혈압을 유발하고, 이로 인해 심장이 과도하게 작동하여 비대해질 수 있습니다.
- 과도한 레닌 분비: 신장 질환으로 인해 레닌-안지오텐신 시스템이 활성화되면 혈압이 상승하고, 이로 인해 고혈압성 심근증이 발생할 수 있습니다.
5. 음주와 흡연
과도한 음주와 흡연은 고혈압을 악화시키고, 그로 인해 고혈압성 심근증의 위험을 높일 수 있습니다.
- 알콜: 과도한 음주는 혈압을 상승시키고 심장에 부담을 주어 심장의 기능을 저하시킬 수 있습니다. 장기간의 과음은 심장 근육의 비대화와 기능 저하를 초래할 수 있습니다.
- 흡연: 흡연은 혈관을 수축시키고, 심장에 대한 산소 공급을 제한하여 고혈압을 유발합니다. 또한, 흡연은 혈압을 높여 고혈압성 심근증의 진행을 악화시킬 수 있습니다.
6. 고염식 (High Salt Diet)
과도한 염분 섭취는 고혈압을 유발하거나 악화시킬 수 있습니다. 염분이 많으면 혈압이 상승하고, 이는 심장에 부담을 주어 심장 비대를 일으킬 수 있습니다.
- 나트륨 과다 섭취: 고염식은 혈관에 수분을 더 많이 축적시켜 혈압을 높이고, 이로 인해 심장에 과도한 부담을 주게 됩니다.
- 염분의 역할: 고염식은 신장에서 수분과 나트륨의 균형을 방해하고, 혈압 상승을 유발해 심장에 부담을 줍니다.
7. 호르몬 불균형
호르몬 불균형도 고혈압을 유발할 수 있으며, 이로 인해 고혈압성 심근증이 발생할 수 있습니다.
- 갑상선 질환: 갑상선 기능 항진증 또는 갑상선 기능 저하증은 혈압에 영향을 미치고, 심장에 부담을 주어 고혈압성 심근증을 일으킬 수 있습니다.
- 알도스테론 과다: 알도스테론은 혈압을 상승시키는 호르몬으로, 과도한 분비는 고혈압을 유발하고 심장에 부담을 줍니다.
8. 약물과 스트레스
- 약물: 일부 약물(예: 스테로이드, 경구 피임약 등)은 고혈압을 유발할 수 있으며, 이로 인해 고혈압성 심근증의 위험이 증가할 수 있습니다.
- 만성 스트레스: 만성적인 스트레스는 혈압을 상승시키고, 이로 인해 심장에 부담을 주어 고혈압성 심근증이 발생할 수 있습니다.
고혈압성 심근증의 주요 원인은 고혈압으로, 고혈압이 장기간 지속되면 심장은 과도한 압력에 대응하려고 비대해지고, 결국 심장 기능이 저하됩니다. 그 외에도 유전적 요인, 비만, 신장 질환, 음주와 흡연, 고염식 등 다양한 요인이 고혈압을 악화시키거나 심장에 부담을 주어 고혈압성 심근증을 유발할 수 있습니다.

4. 증상
**고혈압성 심근증(Hypertensive Cardiomyopathy)**의 증상은 질환의 진행 정도와 심장의 기능 저하 정도에 따라 다르게 나타납니다. 초기에는 증상이 거의 없거나 경미하게 나타날 수 있지만, 시간이 지남에 따라 심장이 점차적으로 기능을 상실하게 되면 증상이 점점 더 심각해질 수 있습니다. 고혈압성 심근증의 주요 증상은 심장의 구조적 변화(심근 비대)와 심장 기능 저하로 인한 결과로 발생합니다.
1. 호흡곤란 (Dyspnea)
호흡곤란은 고혈압성 심근증에서 매우 흔한 증상입니다. 심장이 더 이상 효율적으로 혈액을 펌프질하지 못하면 폐로 가는 혈액의 흐름이 방해를 받아 폐에 체액이 축적되기 시작합니다. 이로 인해 폐부종이 발생하고, 결과적으로 호흡이 어려워집니다.
- 노력 시 호흡곤란: 운동을 하거나 활동적인 일을 할 때, 또는 평지에서 걷는 것만으로도 호흡이 어려워질 수 있습니다.
- 기침 및 천명: 호흡곤란이 심해지면서 기침이나 천명(숨쉴 때 '쌕쌕' 소리가 나는 것)이 동반될 수 있습니다.
2. 부종 (Edema)
부종은 심장이 제대로 혈액을 펌프질하지 못해 혈액이 심장과 혈관에 쌓이면서 발생합니다. 부종은 주로 다리, 발목, 복부 등에 나타날 수 있습니다.
- 하지 부종: 심장의 기능이 저하되면 하체(특히 발목, 다리)에 체액이 축적되어 부기가 생깁니다.
- 복부 부종: 심장의 좌심실 기능이 저하되면 복부에 체액이 고이게 되어 복부 팽만감을 유발할 수 있습니다.
3. 피로감 (Fatigue)
피로감은 고혈압성 심근증에서 매우 흔한 증상 중 하나입니다. 심장이 비대해지고 기능이 저하되면 전신으로의 산소 공급이 부족해지기 때문에, 피로감과 무기력함을 느끼게 됩니다.
- 일상 활동 중 피로: 가벼운 일상 활동을 하더라도 쉽게 피로감을 느끼거나 에너지가 떨어지는 경우가 많습니다.
- 휴식 시에도 피로: 때때로 충분히 쉬어도 피로가 풀리지 않는 상태가 지속될 수 있습니다.
4. 흉통 (Chest Pain)
흉통은 고혈압성 심근증의 증상으로 나타날 수 있으며, 이는 심장에 산소 공급이 부족해지거나 심장에 과도한 부담이 가해지기 때문입니다. 협심증(심장에 일시적으로 혈액이 부족해지는 상태)과 비슷한 형태로 나타날 수 있습니다.
- 운동 중 흉통: 운동이나 신체 활동 중에 흉통을 느낄 수 있으며, 이로 인해 과도한 활동을 피해야 할 필요성이 생깁니다.
- 휴식 중에도 흉통: 심장의 기능이 많이 저하된 경우, 휴식 중에도 흉통을 느낄 수 있습니다.
5. 어지러움 및 실신 (Dizziness and Syncope)
고혈압성 심근증 환자는 심장의 펌프 기능 저하로 인해 뇌로 가는 혈류가 부족해질 수 있습니다. 이로 인해 어지러움이나 실신이 발생할 수 있습니다.
- 어지러움: 특히 갑작스런 자세 변화(예: 앉았다 일어날 때)나 활동 후 어지러움을 경험할 수 있습니다.
- 실신: 심장 기능이 심각하게 저하되면, 혈압이 급격히 떨어지거나 심박수가 불규칙해져 실신을 할 수 있습니다.
6. 심박수 변화 (Palpitations)
고혈압성 심근증에서는 부정맥(심장 박동의 불규칙성)이 흔히 발생합니다. 심박수가 빠르거나 느려지는 형태로 나타날 수 있으며, 이로 인해 불규칙한 심박을 느끼거나 심장 두근거림이 있을 수 있습니다.
- 심방세동(Atrial Fibrillation): 고혈압성 심근증에서 자주 발생하는 부정맥 중 하나로, 불규칙하고 빠른 심박동을 경험할 수 있습니다.
- 심계항진: 가슴이 두근거리는 느낌이나, 심장이 불규칙하게 뛰는 것을 느낄 수 있습니다.
7. 체중 증가 (Weight Gain)
고혈압성 심근증에서 체중 증가는 주로 체액 축적으로 인해 발생합니다. 심장의 기능 저하로 인해 체액이 제대로 순환되지 않아서 부종이 발생하고, 이로 인해 체중이 급격히 증가할 수 있습니다.
- 빠른 체중 증가: 하루 동안 급격하게 1~2kg 이상 체중이 늘어날 수 있으며, 이는 체액이 축적된 결과입니다.
8. 기침과 천명 (Cough and Wheezing)
심장의 좌심실 기능이 저하되면, 폐에 체액이 축적되어 폐부종이 발생할 수 있습니다. 이로 인해 기침과 천명(숨을 쉴 때 쌕쌕 소리)이 나타날 수 있습니다.
- 기침: 폐부종으로 인해 기침이 자주 발생할 수 있습니다. 기침은 주로 야간에 심해지며, 침대에 누운 상태에서 더 악화될 수 있습니다.
- 천명: 기침과 함께 호흡곤란과 천명이 동반될 수 있습니다.
9. 약한 맥박 (Weak Pulse)
심장의 수축력이 약해지면, 혈액을 효율적으로 펌프질하지 못해 약한 맥박을 느낄 수 있습니다. 이로 인해 저혈압(혈압이 낮아지는 상태)이 동반될 수 있으며, 실신과 같은 증상이 나타날 수 있습니다.
10. 배뇨 문제 (Urinary Issues)
심장이 제대로 기능하지 않으면 신장으로 가는 혈류가 부족해지고, 이로 인해 배뇨 문제가 발생할 수 있습니다. 고혈압성 심근증이 심해지면 소변 배출량 감소나 밤에 자주 일어나서 배뇨하는 현상이 있을 수 있습니다.
고혈압성 심근증은 심장의 비대와 기능 저하로 인해 다양한 증상을 유발할 수 있습니다. 주요 증상으로는 호흡곤란, 부종, 피로감, 흉통, 어지러움 및 실신, 심박수 변화, 체중 증가, 기침과 천명 등이 있으며, 증상의 정도는 심장 기능의 저하 정도와 병의 진행 정도에 따라 다르게 나타날 수 있습니다. 증상이 악화될 경우, 적절한 치료와 관리가 중요합니다.

5. 진단
**고혈압성 심근증(Hypertensive Cardiomyopathy)**의 진단은 여러 가지 검사와 상담을 통해 이루어집니다. 고혈압성 심근증은 고혈압이 심장에 미치는 영향을 평가하고, 심장 기능의 저하와 구조적 변화를 확인하는 데 중점을 둡니다. 진단 과정에서 중요한 점은 심장 초음파와 같은 영상 검사, 혈액 검사, 그리고 심전도 등 여러 가지 검사 결과를 종합적으로 분석하는 것입니다.
1. 기본적인 병력 조사 및 신체검사
진단의 첫 단계는 환자의 병력을 확인하는 것입니다. 고혈압성 심근증의 진단을 위해서는 우선 고혈압의 과거력이 중요한 정보가 됩니다. 또한, 환자가 경험하는 증상(호흡곤란, 흉통, 피로 등)에 대해 물어보며, 가족력(고혈압, 심혈관 질환 등)도 고려해야 합니다.
- 혈압 측정: 지속적인 고혈압이 고혈압성 심근증의 중요한 원인이므로, 혈압을 측정하여 고혈압이 존재하는지 확인합니다.
- 심음 청취: 심장의 소리를 청취하여 비정상적인 심음(예: 잡음, 부정맥 등)을 확인합니다.
2. 심장 초음파 (Echocardiogram)
심장 초음파는 고혈압성 심근증의 진단에서 가장 중요한 검사입니다. 초음파를 통해 심장의 구조적 변화와 기능적 변화를 확인할 수 있습니다.
- 심근 비대 확인: 고혈압성 심근증은 심장의 좌심실 비대를 유발합니다. 초음파를 통해 심장 벽의 두께를 측정하고 비대 정도를 평가합니다.
- 심장 기능: 좌심실의 수축 기능(EF, ejection fraction)과 이완 기능을 평가합니다. 심장의 수축 기능이 저하되면 심부전이 발생할 수 있기 때문에, 심장의 펌프 기능을 정확히 측정하는 것이 중요합니다.
- 심실 내 압력: 심장의 압력 상태를 평가하여 폐에 체액이 축적되는지 여부를 확인합니다.
3. 심전도 (Electrocardiogram, ECG or EKG)
심전도는 심장의 전기적 활동을 기록하는 검사로, 고혈압성 심근증에서 발생할 수 있는 부정맥이나 전도 장애를 확인하는 데 사용됩니다.
- 부정맥: 고혈압성 심근증 환자에서는 심방세동(atrial fibrillation)과 같은 부정맥이 자주 발생할 수 있습니다.
- 심장 비대의 징후: 심전도에서 QRS 복합체의 변화나 T파의 변화가 나타날 수 있습니다. 이는 심장의 비대와 관련이 있을 수 있습니다.
- 심박수와 리듬: 심박수가 빠르거나 불규칙한 경우 부정맥을 의심할 수 있습니다.
4. 심장 MRI (Cardiac MRI)
심장 MRI는 심장 초음파로 확인할 수 없는 세밀한 심장 구조의 변화를 볼 수 있는 고급 영상 검사입니다. 고혈압성 심근증의 경우, MRI를 통해 심근의 두께, 심장 벽의 경직도, 그리고 심장 내의 섬유화를 확인할 수 있습니다.
- 심장 벽의 두께: MRI를 통해 심장의 벽이 두꺼워진 정도를 정밀하게 측정할 수 있습니다.
- 심장 섬유화: 심장의 섬유화가 진행되면 심장 기능이 저하되므로, MRI를 통해 섬유화 정도를 확인합니다.
5. 혈액 검사
혈액 검사는 고혈압성 심근증의 진단을 보조하는 데 중요한 역할을 합니다. 혈액 검사에서는 심장 기능을 평가할 수 있는 호르몬과 효소, 신장 기능 등을 확인할 수 있습니다.
- BNP (B-type natriuretic peptide): BNP는 심장이 스트레스를 받거나 기능이 저하될 때 분비되는 물질로, BNP 수치가 높으면 심부전의 가능성을 시사합니다.
- 심장 효소: 심장에 손상이 있을 때 분비되는 효소(예: 트로포닌) 수치를 측정하여 심장 손상의 여부를 평가합니다.
- 신장 기능 검사: 고혈압성 심근증에서는 신장 기능이 저하될 수 있기 때문에 크레아티닌, eGFR 등의 신장 기능 지표를 측정합니다.
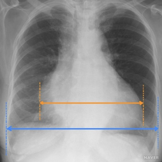
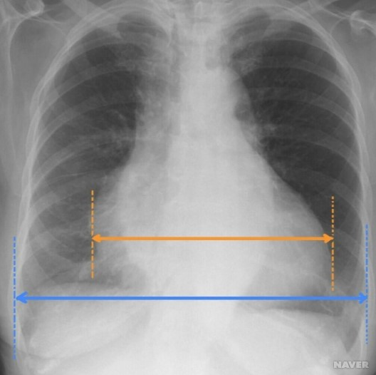
6. 흉부 엑스레이 (Chest X-ray)
흉부 엑스레이는 고혈압성 심근증에서 발생할 수 있는 폐부종(폐에 체액이 고인 상태)이나 심장 비대를 확인하는 데 사용됩니다.
- 심장 크기: 엑스레이를 통해 심장의 크기가 커졌는지 확인할 수 있습니다. 고혈압성 심근증에서는 좌심실 비대에 의해 심장의 크기가 커질 수 있습니다.
- 폐부종: 폐에 체액이 축적되어 있는지 확인할 수 있습니다. 이는 심장의 펌프 기능 저하로 인해 발생할 수 있는 문제입니다.
7. 운동부하검사 (Stress Test)
운동부하검사는 심장이 신체 활동에 어떻게 반응하는지 평가하는 검사입니다. 고혈압성 심근증 환자는 운동 중에 심장이 효율적으로 기능하지 않거나 과도한 스트레스를 받을 수 있습니다.
- 심장 반응: 운동 중 심박수나 혈압이 비정상적으로 증가하는지, 운동 후 회복이 늦어지는지 등을 평가합니다.
- 심장 증상 관찰: 운동 중에 흉통이나 호흡곤란 등 증상이 악화되는지 확인할 수 있습니다.
8. 심장 카테터 삽입 검사 (Cardiac Catheterization)
심장 카테터 삽입은 고혈압성 심근증이 심장 혈관에 어떤 영향을 미쳤는지를 평가하는 데 유용할 수 있습니다. 이 검사는 주로 심장 기능을 정밀하게 평가하거나, 심장 혈관에 협착이나 폐동맥 고혈압이 있는지 확인하는 데 사용됩니다.
- 좌심실 압력 측정: 카테터를 통해 심장의 좌심실 압력을 측정하여 심장의 펌프 기능을 확인할 수 있습니다.
- 관상동맥 질환 평가: 심장에 혈액을 공급하는 관상동맥에 문제가 있는지 평가할 수 있습니다.
고혈압성 심근증의 진단은 병력 조사, 심장 초음파, 심전도, 심장 MRI, 흉부 엑스레이, 운동부하검사 등 다양한 검사 방법을 통해 이루어집니다. 주요 진단 방법은 심장 구조적 변화(좌심실 비대), 심장 기능 저하(수축 및 이완 기능 감소) 및 고혈압의 영향을 평가하는 데 중점을 둡니다. 정확한 진단을 통해 고혈압성 심근증의 진행을 평가하고, 적절한 치료를 계획할 수 있습니다.

6. 치료 및 수술 방법
**고혈압성 심근증(Hypertensive Cardiomyopathy)**의 치료는 주로 고혈압 관리와 심장 기능 개선에 초점을 맞추며, 약물 치료와 수술적 치료가 병행될 수 있습니다. 고혈압성 심근증은 고혈압에 의한 심장의 구조적 변화와 기능 저하를 완화하고, 심부전 및 기타 합병증을 예방하는 것이 목표입니다.
1. 약물 치료 (Medical Management)
고혈압성 심근증의 치료는 주로 약물 치료를 통해 이루어지며, 다음과 같은 약물이 사용됩니다:
(1) 고혈압 치료
고혈압이 고혈압성 심근증의 주요 원인이므로, 고혈압을 철저히 관리하는 것이 핵심입니다. 고혈압 관리에는 혈압을 낮추는 약물이 필요합니다.
- ACE 억제제 (Angiotensin-Converting Enzyme Inhibitors) 또는 Angiotensin II 수용체 차단제 (ARBs): ACE 억제제와 ARBs는 혈압을 낮추고, 심장의 부하를 줄이며, 심장 기능을 개선하는 데 도움을 줍니다. 예를 들어, 에날라프릴(Enalapril), 로사르탄(Losartan) 등이 있습니다.
- 베타 차단제 (Beta-Blockers): 베타 차단제는 심박수를 감소시키고, 심장의 산소 소비를 줄이며, 심장의 부담을 경감시킵니다. 예를 들어, 메토프롤롤(Metoprolol), 카르베딜롤(Carvedilol) 등이 있습니다.
- 칼슘 채널 차단제 (Calcium Channel Blockers): 칼슘 채널 차단제는 심장의 수축력을 조절하고, 혈압을 낮추며, 심장 이완을 돕는 약물입니다. 딜티아젬(Diltiazem), 암로디핀(Amlodipine) 등이 있습니다.
- 이뇨제 (Diuretics): 심부전 증상이 있는 경우, 이뇨제를 사용하여 체내 과잉 체액을 배출시켜 부종을 줄이고 호흡곤란을 완화할 수 있습니다. **푸로세미드(Furosemide)**와 같은 약물이 사용됩니다.
(2) 심부전 치료
고혈압성 심근증이 진행되어 심부전이 발생하면, 심부전 치료를 위한 약물도 필요합니다.
- 알도스테론 길항제 (Aldosterone Antagonists): **스피로노락톤(Spironolactone)**은 심부전 환자에서 심장의 부담을 덜어주고, 심장 기능을 개선하는 데 사용됩니다.
- 디지탈리스 (Digoxin): 디지탈리스는 심장의 수축력을 증가시켜 심부전 증상을 완화시키는 데 도움이 될 수 있습니다.
(3) 부정맥 치료
고혈압성 심근증에서는 부정맥이 자주 발생할 수 있기 때문에, 이를 치료하기 위한 약물도 사용됩니다.
- 항부정맥제 (Antiarrhythmic Drugs): 부정맥을 치료하기 위해 아미오다론(Amiodarone), 소타롤(Sotalol) 등의 약물이 사용될 수 있습니다.
(4) 혈전 예방
부정맥이나 심부전 상태에서는 혈전이 발생할 위험이 높아지므로, 항응고제를 사용하는 경우도 있습니다.
- 항응고제 (Anticoagulants): 와파린(Warfarin), 다비가트란(Dabigatran) 등의 항응고제를 사용하여 혈전 생성을 예방할 수 있습니다.
2. 수술적 치료 (Surgical Treatment)
약물 치료로 충분한 관리가 어려운 경우나 심각한 합병증이 발생한 경우, 수술적 치료가 필요할 수 있습니다. 주요 수술 방법은 다음과 같습니다:
(1) 심장 이식 (Heart Transplantation)
고혈압성 심근증이 심각하게 진행되어 심장 기능이 완전히 상실되면, 심장 이식이 필요한 경우가 있습니다. 이식은 다른 치료 방법이 효과가 없을 때 선택되는 마지막 치료 옵션으로, 심장 기능이 매우 저하된 환자에게 시행됩니다.
- 심부전이 매우 심각하거나 약물로 관리가 어려운 경우, 심장 이식이 고려될 수 있습니다.
- 이식 후에도 면역 억제 치료가 필요하며, 지속적인 관리가 중요합니다.
(2) 좌심실 보조 장치 (Left Ventricular Assist Device, LVAD)
심장이 심각하게 손상되어 혈액을 효과적으로 펌프질하지 못할 경우, **좌심실 보조 장치(LVAD)**를 삽입하여 심장의 기능을 돕습니다.
- LVAD는 심장이 펌프질을 제대로 하지 못할 때 심장의 기능을 보조하는 장치로, 임시적인 대체 치료로 사용될 수 있습니다.
- 심장 이식을 받을 수 있는 상태가 아닐 때, 이 장치를 사용하여 환자의 상태를 안정시킬 수 있습니다.
(3) 심장 수술 (Cardiac Surgery)
고혈압성 심근증으로 인해 심장 판막이나 혈관에 문제가 발생한 경우, 수술을 통해 수리하거나 교체할 수 있습니다. 심장 판막 질환이나 관상동맥 질환이 동반된 경우, 이를 치료하기 위한 수술이 필요할 수 있습니다.
- 심장 판막 수리 또는 교체: 고혈압성 심근증이 판막에 영향을 미치면, 판막 수리나 교체가 필요할 수 있습니다.
- 관상동맥 우회 수술: 고혈압성 심근증이 심장에 혈류를 공급하는 관상동맥에 영향을 미친 경우, 우회 수술(CABG)이 필요할 수 있습니다.
3. 기타 치료 방법
(1) 심장 재활 (Cardiac Rehabilitation)
고혈압성 심근증을 관리하는 데 있어 심장 재활 프로그램이 중요한 역할을 합니다. 재활 프로그램은 운동, 영양 상담, 스트레스 관리 등을 포함하여 심장의 건강을 개선하고, 환자가 일상 생활에서 활동을 잘 할 수 있도록 돕습니다.
- 체력 향상: 적절한 운동을 통해 체력과 심장 기능을 개선할 수 있습니다.
- 생활 습관 개선: 건강한 식습관과 적절한 체중 관리를 통해 고혈압과 심장 기능을 유지합니다.
(2) 혈압 및 체중 관리
혈압을 지속적으로 조절하고, 체중을 관리하는 것이 고혈압성 심근증의 관리에 중요합니다.
- 저염식 식단과 운동을 통해 혈압을 낮추고, 심장의 부담을 줄여야 합니다.
- 체중 관리도 중요한데, 과도한 체중은 심장에 과도한 부담을 주기 때문에 체중을 적절히 유지해야 합니다.
고혈압성 심근증의 치료는 고혈압을 철저히 관리하고, 심장 기능을 개선하는 것이 핵심입니다. 약물 치료로는 고혈압을 조절하고, 심부전 및 부정맥을 치료하는 다양한 약물이 사용됩니다. 수술적 치료가 필요한 경우에는 심장 이식, 좌심실 보조 장치(LVAD), 그리고 심장 판막 수리나 교체와 같은 수술 방법이 고려됩니다. 또한, 심장 재활과 생활 습관 개선을 통해 환자의 상태를 관리하는 것이 중요합니다. 치료는 환자의 상태와 심장 기능에 따라 달라지며, 전문가와의 긴밀한 협력이 필요합니다.

7. 예후와 관리 방법
**고혈압성 심근증(Hypertensive Cardiomyopathy)**의 예후와 관리 방법은 환자의 심장 기능, 고혈압의 정도, 치료 반응 및 심장 질환의 진행 상황에 따라 달라집니다. 고혈압성 심근증의 경우, 적절한 관리와 치료를 통해 증상 완화와 심장 기능 유지가 가능하지만, 심각한 경우에는 심부전으로 이어질 수 있으며, 때로는 심장 이식이 필요한 상황까지 갈 수 있습니다. 예후를 개선하고 심부전 및 기타 합병증을 예방하는 방법에 대해 자세히 살펴보겠습니다.
1. 예후 (Prognosis)
고혈압성 심근증의 예후는 여러 요인에 따라 달라집니다:
(1) 고혈압의 관리 상태
- 혈압 조절이 가장 중요한 예후 인자 중 하나입니다. 고혈압을 적절히 관리하지 않으면 심장의 부담이 계속해서 증가하여 심부전으로 진행할 수 있습니다. 초기 단계에서 혈압을 잘 관리하면 심장의 구조적 변화와 기능 저하를 늦출 수 있습니다.
- 고혈압이 잘 조절되지 않으면 좌심실 비대(LVH)가 진행되고, 심장 기능이 점차적으로 떨어지며, 심부전이 발생할 수 있습니다.
(2) 심장 기능의 유지
- 좌심실 기능이 얼마나 유지되는지에 따라 예후가 달라집니다. 심장의 수축 기능(EF, Ejection Fraction)이 잘 유지되면 예후가 상대적으로 좋습니다. 하지만 좌심실 기능이 감소하거나 심부전이 발생하면 예후가 나빠질 수 있습니다.
- 심장 이식이 필요한 경우, 예후가 불량할 수 있습니다. 심장 이식은 보통 고혈압성 심근증이 말기 심부전으로 진행한 경우에 고려됩니다.
(3) 부정맥 발생 여부
- 고혈압성 심근증에서 부정맥(특히 심방세동 등)이 자주 발생하며, 이는 뇌졸중과 같은 합병증의 위험을 증가시킬 수 있습니다.
- 부정맥이 제대로 치료되지 않으면 혈류 순환에 문제가 생기고, 심부전이 악화될 수 있습니다.
(4) 기타 합병증
- 심장 판막 질환, 심장 동맥 질환(관상동맥질환) 등 다른 심혈관 질환이 동반되면 예후가 더욱 나빠질 수 있습니다.
- 심장에 대한 추가적인 부담을 줄이기 위해 치료를 받는 것이 중요합니다.
2. 관리 방법 (Management)
고혈압성 심근증의 관리 방법은 약물 치료, 생활 습관 개선, 정기적인 검사, 합병증 예방 등을 포함합니다.
(1) 고혈압 관리
- 혈압 조절이 가장 중요한 관리 방법입니다. 고혈압을 치료하기 위해 약물 치료와 생활 습관 변화를 병행해야 합니다.
- 약물: ACE 억제제, ARBs, 베타 차단제, 칼슘 채널 차단제, 이뇨제 등을 사용하여 혈압을 안정적으로 유지합니다.
- 생활 습관: 저염식, 규칙적인 운동, 스트레스 관리, 체중 관리 등을 통해 혈압을 조절합니다.
(2) 심부전 관리
고혈압성 심근증이 심부전으로 진행되면, 심부전 치료를 위해 이뇨제와 알도스테론 길항제 같은 약물을 사용합니다.
- 이뇨제: 체내 과잉 체액을 배출시켜 폐부종이나 부종을 예방합니다.
- 알도스테론 길항제: 심부전 치료에서 사용하여 심장의 부담을 덜어주고, 사망률을 낮추는 데 기여할 수 있습니다.
- 심장 재활: 적절한 운동을 통해 체력을 향상시키고, 심장 기능을 개선하는 재활 프로그램을 참여하는 것이 좋습니다.
(3) 부정맥 관리
고혈압성 심근증에서 부정맥이 자주 발생하므로, 이를 예방하고 치료하는 것이 중요합니다.
- 항부정맥제: 아미오다론(Amiodarone)과 같은 항부정맥제를 사용하여 심박수를 조절하고, 심방세동 등의 부정맥을 치료합니다.
- 항응고제: 심방세동 환자에게는 혈전 예방을 위해 항응고제(예: 와파린, 다비가트란) 사용이 필요할 수 있습니다.
- 심장 박동기 또는 제세동기: 부정맥이 심각하여 생명을 위협하는 경우에는 심장 박동기나 제세동기를 이식하는 경우가 있습니다.
(4) 심장 이식 및 보조 장치
- 심장 이식: 고혈압성 심근증이 말기 심부전으로 진행되어 심장 기능이 거의 상실된 경우에는 심장 이식이 필요할 수 있습니다.
- 좌심실 보조 장치(LVAD): 심장이 제대로 펌프질을 하지 못하는 경우, 좌심실 보조 장치를 사용하여 혈액 순환을 돕고, 심장 이식까지 시간을 벌 수 있습니다.
(5) 정기적인 검진 및 모니터링
고혈압성 심근증 환자는 정기적인 검사와 심장 상태 모니터링이 중요합니다. 검사는 심장 초음파, 심전도, 혈액 검사 등을 통해 심장 기능과 고혈압의 상태를 점검합니다.
- 심장 초음파: 심장의 비대 정도와 심장 기능을 모니터링하여 치료 효과를 확인합니다.
- 심전도: 부정맥이 발생하는지 점검합니다.
- 혈압 모니터링: 지속적으로 혈압을 측정하여 치료 효과를 확인하고, 필요시 약물 조정이 이루어집니다.
(6) 생활 습관 개선
- 식이요법: 저염식 식단을 따르고, 과도한 지방 섭취를 피하여 심장에 부담을 줄입니다. 체중 감량도 중요한 부분입니다.
- 운동: 적당한 운동은 심장의 기능을 개선하고, 혈압을 낮추는 데 도움이 됩니다. 운동 프로그램은 전문가의 지도 하에 적절히 진행하는 것이 중요합니다.
- 금연 및 절주: 흡연과 과음은 심장 질환을 악화시킬 수 있으므로, 금연과 절주가 필수적입니다.
- 스트레스 관리: 정신적 스트레스가 심장에 부담을 줄 수 있으므로, 명상이나 이완 기법을 통해 스트레스를 관리하는 것이 필요합니다.
(7) 심장 재활
- 심장 재활 프로그램에 참여하여 운동 치료, 영양 상담, 심리적 지원을 받는 것이 심장 기능 회복에 도움이 됩니다.
- 재활 치료는 특히 심부전 환자에게 유용하며, 심장 건강을 회복하고 삶의 질을 향상시킬 수 있습니다.
고혈압성 심근증의 예후는 고혈압 관리 상태, 심장 기능, 부정맥 발생 여부 등 여러 요인에 따라 달라집니다. 적절한 약물 치료와 생활 습관 개선, 정기적인 검진을 통해 심장의 부담을 줄이고, 심부전 및 부정맥을 예방할 수 있습니다. 심장 이식이나 LVAD와 같은 수술적 치료가 필요한 경우도 있지만, 조기 발견과 철저한 관리로 예후를 개선할 수 있습니다.
만성 심근경색 (Chronic Myocardial Infarction)
만성 심근경색 (Chronic Myocardial Infarction)
**만성 심근경색 (Chronic Myocardial Infarction)**은 급성 심근경색이 시간이 지나면서 완전히 회복되지 못하고, 지속적으로 심장에 손상을 입히는 상태를 의미합니다. 급성 심근경색 후, 심근 조직이
bwang2.tistory.com
하대동맥염증성질환(Inflammatory Aortic Disease)이란? 특징, 원인, 증상, 치료 및 수술방법
하대동맥염증성질환(Inflammatory Aortic Disease)이란? 특징, 원인, 증상, 치료 및 수술방법
하대동맥염증성질환(Inflammatory Aortic Disease)은 하대동맥에 염증이 발생하여 대동맥의 기능과 구조에 영향을 미치는 질환을 말합니다. 이는 대동맥의 벽에 염증이 생겨 동맥류나 박리, 협착 등을
bwang2.tistory.com
동맥 공기색전증 (Arterial Air Embolism, AAE)이란? 특징, 원인, 증상, 치료 및 수술방법
동맥 공기색전증 (Arterial Air Embolism, AAE)이란? 특징, 원인, 증상, 치료 및 수술방법
**동맥 공기색전증 (Arterial Air Embolism, AAE)**은 공기나 기체가 동맥에 들어가면서 발생하는 질환으로, 이는 혈류를 방해하여 여러 신체 기관에 심각한 손상을 초래할 수 있습니다. 동맥 공기색전증
bwang2.tistory.com
심방세동 색전증(Atrial Fibrillation Embolism, AFE)이란? 특징, 원인, 증상, 치료 및 수술방법
심방세동 색전증(Atrial Fibrillation Embolism, AFE)이란? 특징, 원인, 증상, 치료 및 수술방법
**심방세동 색전증(Atrial Fibrillation Embolism, AFE)**은 심방세동(Atrial Fibrillation, AF)이라는 부정맥 상태로 인해 발생할 수 있는 색전증(Embolism)입니다. 심방세동은 심장의 심방이 불규칙하게 떨리는 상
bwang2.tistory.com
경동맥 수술 후 감염이란? 특징, 원인, 증상, 치료 및 수술방법
경동맥 수술 후 감염이란? 특징, 원인, 증상, 치료 및 수술방법
경동맥 수술 후 감염에 대해 자세히 설명드리겠습니다. 경동맥 수술은 일반적으로 경동맥을 통한 혈류 개선을 위한 수술로, 감염은 수술 후 발생할 수 있는 심각한 합병증 중 하나입니다.1. 경동
bwang2.tistory.com
'순환계 질환' 카테고리의 다른 글
| 감염성 심근증(Infectious Cardiomyopathy)이란? 특징, 원인, 증상, 진단, 치료 및 수술방법 (2) | 2025.04.03 |
|---|---|
| 염증성 심근증(Myocarditis)이란? 특징, 원인, 증상, 진단, 치료 및 수술방법 (1) | 2025.04.02 |
| 심낭염성 심근증(Perimyocarditis)이란? 특징, 원인, 증상, 진단, 치료 및 수술방법 (2) | 2025.04.02 |
| 임신성 심근증(Pregnancy-Associated Cardiomyopathy, PPCM)이란? 특징, 원인, 증상, 진단, 치료 및 수술방법 (0) | 2025.04.02 |
| 알레르기성 심근염 (Allergic Myocarditis)이란? 특징, 원인, 증상, 치료 및 수술방법 (1) | 2025.04.02 |